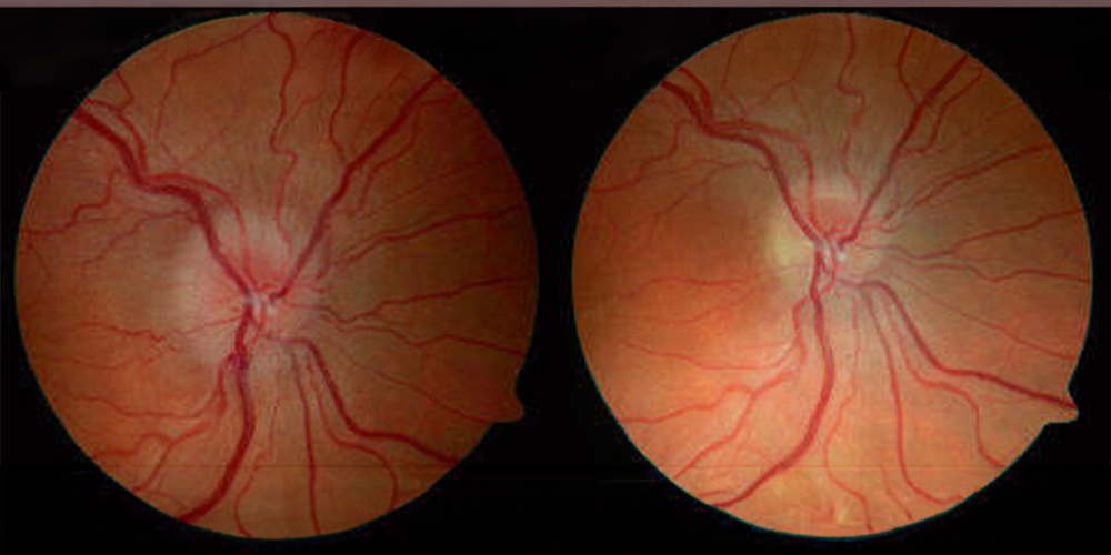
Considerada um caso grave de perda de visão, já que geralmente é irreversível, a atrofia óptica consiste na atrofia do nervo óptico, nervo responsável por criar nossa visão.
A oftalmologia infantil se mostra mais uma vez muito importante visto que, em raros casos, é possível recuperar o nervo atrofiado caso o diagnóstico seja feito de forma precoce.
